- 
											
									 - 
				
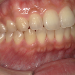
「1度もクリーニングをしたことがない」 歯周病治療で歯ぐきの炎症を抑えることができた症例
治療前 治療後 相談内容 「1週間前からずっと痛い。フロスすると痛い血が出る。」 ... 
- 
											
									 - 
				
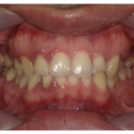
「ハグキをみてもらいたい」スケーリングとセルフケアで炎症が改善されてた症例
治療前 治療後(7年経過) 相談内容 「忙しくて中々歯医者に行けてなくて、たぶん ... 
- 
											
									 - 
				
目立つ茶渋をパウダーにて綺麗に仕上げた症例
治療前 治療後 相談内容 「虫歯じゃないから気にしてなかったけれど、そろそろ綺麗 ... 
- 
											
									 - 
				
「ステインを除去し、口腔内環境を整えた」症例
治療前 治療後 相談内容 「歯の表面をキレイにして口腔内環境を整えたい」とご相談 ... 
- 
											
									 - 
				
虫歯治療の前にセルフケアの指導とクリーニング・SRPを行い歯周病を改善した症例
治療前 治療後 相談内容 「左上グラグラして昨晩から ... 
- 
											
									 - 
				
「虫歯予防に力を入れたい」 自費のパウダーメインテナンスで歯垢と着色を隅々まで除去した予防症例
治療前 治療後 相談内容 ハミガキを頑張っているけど上手く磨けていない気がする。 ... 
- 
											
									 - 
				
「ホームケアの見直しと飲食習慣の改善で健康な口腔内へ改善された」症例
治療前 治療後 相談内容 「前歯が黒っぽい、欠けている所もある」とご相談いただき ... 
- 
											
									 - 
				
歯ぐきの下に溜まった歯石を取り除いて清潔なお口を取り戻した症例
治療前 治療後 相談内容 「歯ぐきがズキズキ、チクチク何もしなくても痛い。」とご ... 
- 
											
									 - 
				
セルフケア製品の変更と着色除去で綺麗な歯になれた症例
治療前 治療後 相談内容 「お口全体が歯周病でないか気になる、歯についた黒いのも ... 
- 
											
									 - 
				
電動歯ブラシの付属品ブラシの使い方を確認して、セルフケアで着色予防ができている症例
治療前後 治療後5年経過 相談内容 「電動歯ブラシを使っています。よく取れている ... 
