「コーヒーが欠かせなくて、着色が気になる」 適切な予防ケアと定期的なパウダーメインテナンスで着色を予防している症例
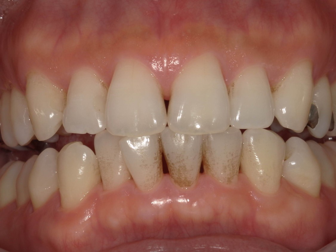
治療前
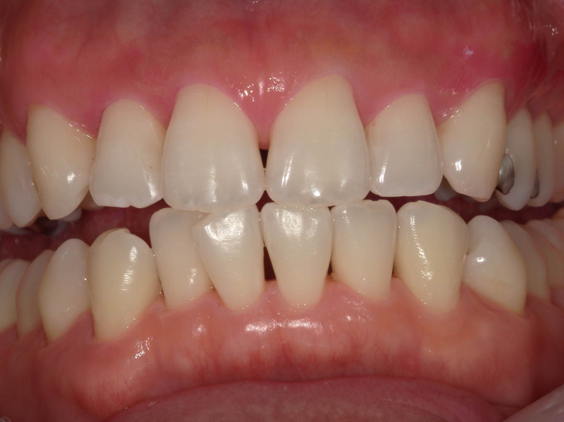
治療後
| 相談内容 | 「ブラックコーヒーが欠かせないです。どうしても目立つところについてしまうんですよね。ちゃんと落としたいし、予防ケアも教えてほしいです!」とご相談頂きました。 |
|---|---|
| 年齢・性別 | 40代 男性 |
| カウンセリング・診断結果 | はみがきは1日2~3回されるそうです。 はみがきをされない合間につく、飲み物由来の着色が目立ちました。 ブラックコーヒーがお好きなようで、「砂糖を入れて飲むことはない」ということでしたので、飲み物については変更はお話しておりません。 |
| 行った治療内容 | 歯周病検査 ハミガキチェック 着色予防のお話 パウダーメインテナンス 着色がなんでついてしまうかをお話させていただき、ついてしまっても簡単に落とせるようにするにはどうしたらいいかを、お話させていただきました。 |
| 術後の経過・現在の様子 | 当院では歯をキズつけないパウダーメインテナンスを受けていただいて、ご自身ではトリートメントケアの歯磨き粉、着色に特化した歯磨き粉を使用していただいています(歯科専売品)。 歯面へのダメージのないケアを継続していくことで、簡単に落とせる着色に変わってきています。 「昼磨ける時が続くと、着色が目立つまで時間がかかるんです!ちゃんと落とせてるんだな~ってわかります!楽しいです!」と口腔内の変化に喜んでいただけています。 |
| 治療期間 | 1ヵ月 |
| 治療回数 | 半年に1回 |
| 総額治療費の目安 | 自費診療5,000円(+税) |
| 治療のリスクについて | 保険のスケーリングで使用する超音波スケーラーは、歯垢歯石を除去するもので、薄くつた着色を落とすには刺激が強すぎます。 しっかりと取り除くためには、着色やヤニの除去のために開発された特別な機械を使う必要があります。審美ケアになるので自費診療になります。 着色をしっかり落としたい予防したい方は、自費のPMTCやパウダーメインテナンスを選んでいただくことをオススメします。 |
中林デンタルケアークリニック:https://naka-dent.com/
〒211-0041 神奈川県川崎市中原区下小田中1-20-7
電話:044-766-0970
交通アクセス
電車でお越しの方:武蔵中原駅より徒歩5分
お車でお越しの方:無料駐車場有
