予防歯科
-
- STEP 1カウンセリング
- 初めにカウンセリングを行います。
飲食習慣や歯科治療の経験、歯磨きなどについてうかがいます。
歯の健康について解らないこと、不安なことなどありまたらご質問ください。
-
- STEP 2各種検査
- 口腔内写真、歯式記録、プラークチャートなどを記録して唾液検査を行います。
ここで虫歯になり易さを示す「唾液の量」「唾液の緩衝能」「虫歯菌(ミュータンス菌、乳酸桿菌)の比率」「プラークの量」などを測定、虫歯の経験、フッ素の使用状況、飲食回数を調べます。
-
- STEP 3分析
- 採取した資料を検査機関に送り分析を依頼します
-
- STEP 4検査検査結果、予防プログラムの提案
- 分析した結果をお伝えします。
- 患者さんは検査項目の結果をクモの巣状のグラフに示してあるので自分の弱点(リスク因子)を理解することができます。
良好に保つために必要なことを提案させていただきます。 - 患者さんは検査項目の結果をクモの巣状のグラフに示してあるので自分の弱点(リスク因子)を理解することができます。
-
- STEP 5再検査 (希望の方のみ)
- プログラムを実践してどのように改善したか、良好に経過しているか確認のため希望する方には再検査(有料)を行います。
必要であれば予防プログラムの項目追加、変更などを提案致します。
当院の予防歯科の考え方
皆様にとって、歯医者とはどんな場所でしょうか?
おそらく大多数の人が「虫歯になってから行く場所」だと思います。
日本では長い間そうした考えが定着し、悪くなってしまった歯を削ったり詰め物を入れたりする治療をする場所として歯医者があり続け、患者様もそれが当たり前のことだと思い来院してきました。
当院では予防歯科外来を設置し、患者様の口腔内の健康管理のほか一生涯を見据えた治療を行っております。
予防歯科は、クリーニングで歯石や歯垢を取るだけが目的ではありません。
当院の歯科衛生士とお話をし、正しい歯磨き方法を学び、自分のお口の中がどういう環境環境か理解することも歯のトラブルの予防をするにあたってとても重要なことです。
虫歯を予防するために大切なこと
歯磨きの大切さ
毎日歯磨きをしていれば虫歯にはならない?
そうはお考えではないでしょうか。
しかし残念なことに多くの日本人が正しい歯磨きをできていません。
また人のお口の状態はその人によって違い、その人にあったブラッシングをしなければ予防効果はあまり期待できません。
そのため当院の歯科衛生士が、患者様に合った磨き方を指導します。
それを覚えて、実践して行くことで予防効果が期待できます。
歯ブラシの選び方、その他ケアグッズの選び方
また歯を磨く上で使用する歯ブラシや、歯の隙間の汚れを取ることに効果的なデンタルフロスの選び方も非常に重要です。
当院でも様々なケアグッズを取り扱い患者様にオススメさせていただいています。
また院内においてあるものは、全て当院の歯科衛生士が使ってきたものばかり。
患者様にオススメする際も自分が使ってよかったものや、効果が実感できるものおすすめさせていただきます。
当院の予防歯科メニュー
虫歯予防プログラム
簡単な検査、的確な分析、実践しやすいプログラムであなたも歯に自信が持てる人に。
毎日きちんと歯ブラシをしているのに健診で虫歯がみつかった!
まじめに歯医者さんに通っても数年で虫歯が再発する。
甘いものを控えているのに虫歯を発見。
甘いものだ~い好き、歯磨きなんか適当、だけどあまり虫歯にならない。
虫歯の原因をご存知ですか?
虫歯が成立する要因は主に「細菌」「食生活」「歯質」の3つがあります。
これらの要因の色々な組み合わせ(リスク)によって虫歯は発症しますが、人それぞれリスクは違うのです。
ですから上記のように虫歯で苦労する人、無関心でもなりにくい人が在在します。
当クリニックでは検査により適切な個人のリスク判定を行い、患者さんに合った虫歯予防プログラムを提案しております。
虫歯予防プログラムの流れ
虫歯予防プログラムの内容
原因菌の除去 |
ブラッシング、スケーリング(歯垢、歯石除去)、PMTC |
食生活改善 |
食事指導 |
フッ素の応用 |
フッ化物配合の歯磨剤の使用方法 |
唾液の改善 |
キシリトールガムの応用 |
再石灰化療法 |
MIペースト、リナメル |
歯の表面形態の改善 |
フィシャーシーラント |
口腔内の細菌叢のリセット |
3DS(原因菌除去療法) |
以上の項目の内容を、患者さん自身がおこなうセルフケアーと歯科医院でおこなうプロフェッショナルケアーの両面から進めていきます。
PTC[プロフェッショナル・トゥース・クリーニング]
正しいブラッシングをしていてもどう頑張っても取れない汚れは存在します。
それを衛生士の手で清掃したまってしまった歯垢や歯石を取り除くのがPTCです。
また口内の状態を確認し、治療後の経過観察や虫歯がないか確認し、患者様のお口の状況をチェックいたします。
PMTC[プロフェッショナル・メカニカル・トゥース・クリーニング]
PTCに加えて、専門の機械を使い患者さんの口内を徹底的に洗浄します。
毎日の歯ブラシでは落としきることできない、歯と歯の隙間の汚れ、歯茎と歯の隙間に挟まった歯垢や歯石を除去することで虫歯や歯周病の予防ができます。
また機械を使い歯の表面を磨きあげるので多少の汚れやざらつきも滑らかにすることができ、審美的な効果を得ることもできます。
SPT[サポーティブペリオドンタルセラピー]
SPTは病状がある程度安定した症例になった歯周病患者さんに行う治療です。
歯周病の治療をある程度進めた患者さんは、スケーリングやルートプレーニングを行うことにより、歯石や歯垢が除去され歯と歯茎の間が清潔な状態になっています。
そうすると歯茎がの上皮が再生していき一見すると治癒したかのようにみえます。
しかし実際には表面的癒着しに安定しているわけではないので非常にデリケートな状態です。
歯周病の患者さんは油断をするとまた癒着部分が剥がれてしまい、また歯周ポケットに汚れがたまっていってしまう。
そうならないように定期的に汚れを除去して行くものがSPTです。
パウダーメインテナンス
また当院ではパウダーメインテナンスを行うことも可能です。
これは歯と歯茎の間に、細いノズルを差し込み水と一緒に細かいパウダーを噴射することで、超音波スケーラーでは取れない歯周ポケットの奥深くにある汚れも取ることができます。
またこちらの器具はインプラント手術をした人のメインテナンスにも活用ができ、細いノズルを差し込みインプラント体を洗浄することが可能です。
医院からのメッセージ
近年の歯科治療の発展は非常に早いものです。
そのため医師、衛生士共につねに勉強をしなければ患者さんに良い治療をすることはできません。
当院では、積極的にセミナーや勉強会に参加し、様々な治療技術や最新技術を患者様にお届けできるよう日々勉強しています。
また勉強し実践することも欠かせません。衛生士同士でケアの仕方や学んだ知識を共有し合うことで日々お互い高め合い、常に最高の治療をお届けできるよう努力しています。
また衛生士の参加したセミナー、勉強の様子等スタッフブログにもアップしておりますのでもしよろしければお目を通していただければと思います。
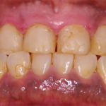
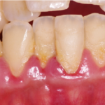
当院で行った予防歯科の症例
