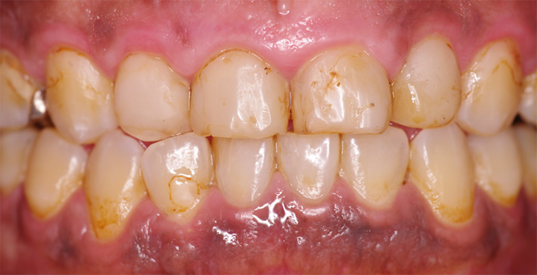
つめものの段差によって清掃状態がよくなく慢性的に歯肉炎になっていた症例
治療前
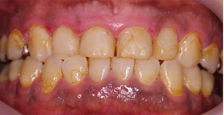
治療後
| 相談内容 | 「過去に虫歯が多かったので、だいぶ長い期間通院していて。治療が終わってから行っていないです。」 歯医者はかなり久しぶり。点検をしてもらいたいと、ご相談いただきました。 |
|---|---|
| 年齢・性別 | 40代 男性 |
| カウンセリング・診断結果 | 治療が完了してあり、目立つ虫歯はありませんでしたが、一度詰めて治した虫歯治療の材料と歯に凸凹が多く、清掃状態が下がってしまっていました。そのせいで、着色がつきやすく、慢性的な歯肉炎にもなっていました。 喫煙歴があり、ハグキの腫れに気づきにくい状態でもありました。 |
| 行った治療内容 | スケーリング セルフケアのお話 レジン充填の研磨 ハグキチェック かためのハブラシでゴシゴシ磨くようでしたので、毛先の細いハブラシにしてもらい、ハグキの境目に当たるよう意識してもらいました。 レジン充填をなるべく段差がなくなるように先生に研磨をしてもらいました。 |
| 術後の経過・現在の様子 | 歯周病の初期症状、歯肉炎になっていたことに驚かれていました。 「全然健康に見えますけど、腫れる手前の状態だったんだ~」と驚かれていました。 ハグキの血色も良くなり、治療を繰り返さないように予防のために検診にいらしてほいいことをお伝えしています。 |
| 治療期間 | 3か月 |
| 治療回数 | 7回 |
| 総額治療費の目安 | 保険範囲内 ハブラシ代別 |
| 治療のリスクについて | いきなり歯周病は始まりません。様々な初期症状が必ずあると思います。 早い段階で歯科院での適切なケアを受けることで、早期回復ができます。 歯周病になってしまっていると、それを治しに通院していただかなければなりません。 より多くの方に気軽に歯科医院へお越しいただきたいです。 |
中林デンタルケアークリニック:https://naka-dent.com/
〒211-0041 神奈川県川崎市中原区下小田中1-20-7
電話:044-766-0970
交通アクセス
電車でお越しの方:武蔵中原駅より徒歩5分
お車でお越しの方:無料駐車場有
