武蔵中原の歯医者、中林デンタルケアークリニック 武蔵中原の歯医者、中林デンタルケアークリニック

会話からはじめる歯科治療

新たに「予防歯科外来」を設置。
定期健診をはじめメンテナンスやケアを通して、
虫歯の再発防止や歯周病対策などを行う
予防中心の歯科医院です。

武蔵中原の歯医者、中林デンタルケアークリニック

お知らせ

過去のお知らせ一覧

―ブログ―

 医院ブログ一覧 

スタッフブログ一覧

Concept

「予防」で健康な歯を保つために

虫歯や歯周病などにかかって歯を一度でも削ってしまうと、健康な状態に戻すことはできますが、再生することはできません。
生涯健康な歯でいるために、当院では患者様への「予防」を呼びかけています。

当院のコンセプトについて

当院の治療内容

 

白く輝く美しい歯に!
ホワイトニング

歯みがきや歯のクリーニングでは落ちない、着色(加齢や飲食物によるもの)を歯を削ることなく白くする方法です。
天然の歯を白くしていくため、自然な色の仕上がりになり、笑顔の魅力度が格段にアップします。
当院では、歯科医院で行うオフィスホワイトニングの他、ご自宅で手軽にできるホームホワイトニングも行っております。
歯の色が気になる方は、まずはお気軽にご相談ください。

ホワイトニング

診療内容 一覧

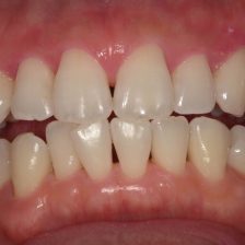
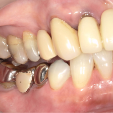
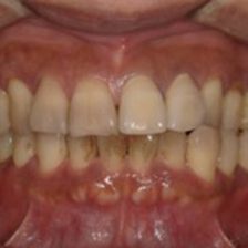
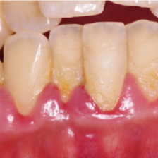
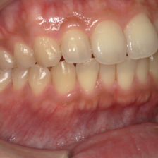
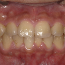
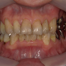
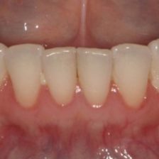
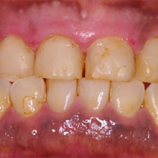
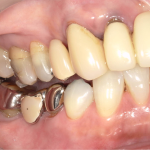
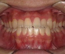
症例

症例一覧

―症例―

症例一覧

当医院のこだわり

01
生涯を通したメンテナンスや
ケアなど予防を重視

武蔵中原の歯医者、中林デンタルケアークリニックは予防を重視

患者様にとって虫歯や歯周病、口腔癌といった口の中の病気は発症しないのが一番。しかし病気に罹患してしまった場合は、歯科医院で治療をして機能回復の処置を行います。
とはいえ、歯科治療はそこで終了することはありません。大切なのは定期的なメンテナンスとケアです。治療終了後の定期検診は、病気の再発を高い確率で予防できることが証明されています。
当院では、それぞれの患者様に合った予防メニューとメンテナンス、ケアをご提供いたします。

武蔵中原の歯医者、中林デンタルケアークリニックは予防を重視
武蔵中原の歯医者、中林デンタルケアークリニックのゴールを見据えた歯科治療

02
ゴールを見据えた歯科治療

武蔵中原の歯医者、中林デンタルケアークリニックのゴールを見据えた歯科治療

歯科治療はスタートすると長期に及ぶケースが多く、患者様のという患者さんの不安やストレスは多岐にわたります。

「自分の歯は一体どうなるのだろう?」
「費用は?」
「期間は?」
「ほかの治療法は無いのだろうか?」

このような不安をできるだけ和らげるため、当院では様々な検査を通して資料を作成。総合的な治療計画を立案し、できるだけわかりやすい形で解説して具体的な治療目標(ゴール)をお伝えしています。
治療目標に合意後、本格的に治療をスタートすることで、納得いただいた上で治療に臨んでいただきます。

03
できるだけ削らない、抜かない
健康な歯を残す

武蔵中原の歯医者、中林デンタルケアークリニックはできるだけ削らない、抜かない、健康な歯を残す治療を行っています

当クリニックは虫歯治療のコンセプトに”最小限の治療介入”という意味を持つ「MI(minimum intervention」を掲げています。つまり「できるだけ歯を削らない、抜かない、健康な歯を残す」という治療方針です。
近年、虫歯のメカニズム研究結果からMIで永久歯の寿命を伸ばすことができることもわかりました。

武蔵中原の歯医者、中林デンタルケアークリニックはできるだけ削らない、抜かない、健康な歯を残す治療を行っています
武蔵中原の歯医者、中林デンタルケアークリニックの懇切、丁寧なカウンセリング

04
懇切、丁寧なカウンセリング

武蔵中原の歯医者、中林デンタルケアークリニックの懇切、丁寧なカウンセリング

当院には、口の中の悩みを抱えながらも歯科治療を受けることを躊躇して、相談するために来院される方は多数いらっしゃいます。
悩みや不安に対する一番の対処法は「話すこと」です。
わたしたちスタッフはドクターと共に患者さんの悩みやストレスをしっかり受け止め、いつでも助言や心のサポートを行います。
患者様がお困りのときはサポートを考え、少しでも患者様の笑顔につなげたいと思っております。

05
日々研鑽を積むスタッフ

武蔵中原の歯医者、中林デンタルケアークリニックで日々研鑽を積むスタッフ

当院の歯科衛生士や受付、歯科助手、外部のアドバイザリースタッフは書籍、院内勉強会、外部のセミナーの受講などでそれぞれの専門技能を常に研鑽しています。
2013年上半期には「接遇マナーのレベルアップ」を共通テーマに掲げ、院内研修と外部講座の受講をしました。
身につけた知識、技術は毎日の業務の中で実践し、よりよい治療をご提供しています。

武蔵中原の歯医者、中林デンタルケアークリニックで日々研鑽を積むスタッフ
武蔵中原の歯医者、中林デンタルケアークリニックは充実した感染予防対策

06
充実した感染予防対策

武蔵中原の歯医者、中林デンタルケアークリニックは充実した感染予防対策

安心して治療を受けていただくうえで治療器材、各種材料の滅菌、消毒は欠かすことのできないものです。歯科治療の現場では感染予防体制が不十分であると、血液、唾液、リンパ液などを介してHBV(B型肝炎ウィルス)、HCV(C型肝炎ウィルス)、HIV(エイズウイルス)などの感染リスクが高くなることがわかってきました。
とはいえ感染予防を確実に行うには、専用の器械や多量のディスポーザブル製品(使い捨て)を必要とするため、高額なコストがかかると同時に、それを行うスタッフの労力も軽くありません。
しかし当院では「患者さんに安心、安全な歯科医療を提供する」というコンセプトから滅菌、消毒をはじめとする感染予防対策に力を入れております。

武蔵中原の歯医者、中林デンタルケアークリニック
武蔵中原の歯医者、中林デンタルケアークリニックの院長あいさつ

中林デンタルケアークリニック
院長 中林 清則

中林デンタルケアークリニックでは虫歯や歯周病の治療ももちろん行っておりますが、最重視しているのはあくまでも「予防歯科」です。
近年では虫歯だけでなく歯周病の認知も高まり「歯が痛くなったら歯医者に行けばいい」という考え方は少しずつ薄れてきたように感じます。
しかし、まだまだそういった認識をお持ちでない方がたくさんいらっしゃるのも事実です。

本来の自然で健康な歯を残していくためには、「治療」よりも「予防」に重点が置かれるべきだと考えています。
そのためのメンテナンスやケアは、歯科医院内だけで完結されるべきものではありません。
歯科医師、歯科衛生士、そして患者様のホームケア、これらが合わさって初めて、真の「予防歯科」は完成されます。

当院の歯科衛生士はメンテナンスケアについて日々研鑽を積んでいます。
武蔵中原、武蔵新城、武蔵小杉周辺にお住まいの方で、少しでも気になることがございましたらスタッフまで何でもお尋ねください

PAGE TOP