「ステインオフで口腔内環境も整えられた」症例
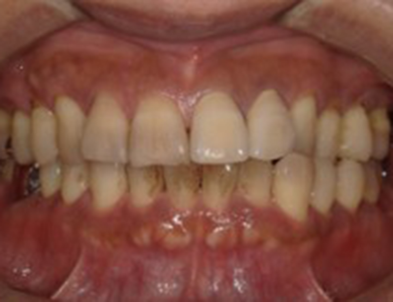
治療前
治療後
| 相談内容 | 「見た目も気になるし虫歯予防もしたい」とご相談いただきました。 |
|---|---|
| 年齢・性別 | 40代 男性 |
| カウンセリング・診断結果 | 定期検診でいらしている患者さんです。 以前から全体的にステインが付きやすかった患者さんです。これまでは保険のクリーニングでの歯面清掃で落とせる範囲でした。 最近は綺麗にすべて落とすのが難しいほど口腔内全体的に色濃く付いてきていました。 一度綺麗に全部落としてみたいとの事でしたので、自費のステインオフのメンテナンスをご提案させていただきました。 |
| 行った治療内容 | パウダーメンテナンス ・全体の歯茎検査 ・染めだしでの磨き残し確認 ・歯石の除去 ・パウダーによるステイン、プラークの除去 ・歯面研磨 専用の機械とパウダーを使ってプラーク、ステインを落としていきます。 パウダーでのステイン除去は歯の表面を傷をつけずに行うことが出来ます。 また、ステインだけでなくプラークも隅々まで落とすことが出来ます。 定期的に行っていくことでステインの再付着予防と虫歯予防が期待できます。 |
| 術後の経過・現在の様子 | ステイン除去後も綺麗な状態を保ちたいとのことで、3ヵ月ごとのメンテナンスを保険の検診からパウダーメンテナンスに変更しています。 患者さんも「終わった後いつもよりも、よりスッキリする感じがします」と効果を実感して頂けています。 今後はステイン、虫歯予防としてパウダーメンテナンスを継続していきます。 |
| 治療回数 | 約1回 |
| 総額治療費の目安 | 全顎着色除去 ¥5,500(税込) 他セルフケア代等 |
| 治療のリスクについて | ・鼻炎、喘息 他呼吸器疾患をお持ちの方、歯茎の炎症が強い方などは施術が受けられない場合があります。 ・詰め物、人工歯等の変色は落とすことが出来ません。気になる場合はやり替えが必要になります。 ・歯表面のステインを落とすことで、歯本来の色に戻ることが出来ます。 ですが、ホワイトニングの様に歯自体の色変化で白くなることはありません。 |
| クリニックより | ステインオフすることで歯本来の色に戻すことが出来ます。タバコのヤニやコーヒー、紅茶などの飲食物由来によるものなどが落とすことが出来ます。 歯自体の色のくすみなどはステインオフでは落とすことは出来ません。色を明るくすることをご希望でしたらホワイトニングへのご案内になります。 見た目、歯の色などで気になることがあればぜひご相談して下さい。 |
中林デンタルケアークリニック:https://naka-dent.com/
〒211-0041 神奈川県川崎市中原区下小田中1-20-7
電話:044-766-0970
交通アクセス
電車でお越しの方:武蔵中原駅より徒歩5分
お車でお越しの方:無料駐車場有
