ホワイトニング
- ホワイトニング効果は永久ではないため、コーヒーやお茶、タバコといった着色性の高い飲食物、嗜好品によって再着色してしまう可能性がありますので注意が必要です。
- ホワイトニングを避けた方が良い人や、適さない歯があるため、誰でも受けられるわけではない場合があります。
例えば、知覚過敏の傾向にある方は、ホワイトニングを行なうことで悪化することもあるので注意が必要です。 - ホワイトニングを行う歯に虫歯や歯周病がある場合、ホワイトニング ができない場合があります。この場合は治療を優先してください。
- 自宅でおこなう
- 歯科医院でおこなう
- 自宅で2週間、徐々に歯を白くしていく
- 施術時間=90〜120分
- 2回の施術で歯を白くする
- 専用のマウストレーを作製し、そこにホワイトニングジェルを注入して装着
- ホワイトニング剤を塗り、光を照射してホワイトニング効果を促進させる
- 歯科医院内にて施術
- 時間をかけて薬剤を深く浸透させるので、ホワイトニング効果がより高い
- オフィスホワイトニングよりも白さが持続する
- 忙しい方、時間がない方に最適(たとえば、結婚式を間近に控えている方など)
- 元の色に戻るのが早い場合がある
短期間で効果を実感することができるが、定期的なケアを怠ってしまうと元の歯の色に戻りやすい場合があります。 - 費用が少し高くなる場合がある
オフィスホワイトニングは、自由診療のため一般的には他のホワイトニング方法に比べて費用が高めです。
追加のアフターケアが必要な場合もありますので、そちらの費用感を含めご検討する必要があります。 - 指定された薬剤の量を守る
たくさん薬剤を使えば、通常よりもっと効果が出るものではございません。
溢れた薬剤が歯茎につくと、歯茎が白くなったり炎症を起こしたりする恐れがありますので指定の量を守りましょう。 - マウスピースを外した後は しっかり口をすすぎ、洗浄をする
ホワイトニングの薬剤が残っていると、歯に汚れが付きやすくなります。
マウスピースを外したらしっかり口をすすぎ、必要であれば軽くブラッシングして薬剤をしっかり落としましょう。 - 白さを実感するまでに時間を要する
オフィスホワイトニングに比べ、ホワイトニング剤の濃度が低いため、歯が白くなるまでに時間がかかります。
一定期間の継続が大切になってきます。 - 毎日のケア、食事制限が必要
自宅で行っていく施術ですので、ご自身で器材のメンテナンスが必要です。
また、施術の期間中は、着色の濃い飲食物は控えていただく必要がありますので注意が必要です。 - 費用が高い
2つのホワイトニングを組み合わせるため、オフィスホワイトニングやホームホワイトニングと比較して費用は高くなります。 - 通院の手間がかかる
オフィスホワイトニングとホームホワイトニングの両方を行っていただくため手間がかかりますが、その分より早く目標の白さを手に入れることができます。 -
- 来院1回目ホワイトニングのための検査・準備
- 1. カウンセリング、口腔内写真撮影
2. 目標のシェード(色調)を決める
3. クリーニング(1回目)実施
4. ホームホワイトニング用のマウスピース(トナー)の型取り
-
- 来院2回目オフィスホワイトニング実施
- 5. 作成したマウスピースと合わせてホームホワイトニング用のジェルを2本お渡しします
-
- 約1か月ホームホワイトニング実施
- 6. ご自宅にてホームホワイトニングを実施していただきます。
-
- 来院3回目効果の確認
- 7. 効果の確認。再度オフィスホワイトニングを実施する場合もあります
8. クリーニング(2回目)実施
9.ホームホワイトニング用のジェルを4本追加でお渡しします
- ホワイトニング実施過程で行うクリーニングやマウスピース、ジェルの料金をすべて含みます。
- 効果が芳しくないと感じた場合、3か月以内でしたら追加料金なしで2回目のオフィスホワイトニングを実施します。
- クレジットカード払いも承ります。(オフィスホワイトニングは一括払いのみ、デュアルホワイトニングは分割払いも可能です。)
- Qホワイトニングはどのような方にオススメですか?
- Aオフィスホワイトニングは、短時間で効果が感じられるので忙しい方向けです。
ホームホワイトニングは、ご自宅でご自身のペースで施術を行いたい方におすすめです。
デュアルホワイトニングは、短時間かつ自然な白い歯を実現したい方におすすめです。 - Qホワイトニングはどれくらい効果が持続しますか?
- Aオフィスホワイトニングは、一般的に3〜6ヶ月ほどです。
ホームホワイトニングは、一般的に6〜12ヶ月ほどです。
デュアルホワイトニングは、一般的に12〜24ヶ月ほどです。 - Qホワイトニングの副作用はありますか?
- Aホワイトニングの副作用としては、一時的な歯の痛みや歯茎の刺激がある場合があります。
しかしこれらの症状は通常は一時的であり、時間とともに軽減します。 - Qホワイトニングは年齢制限がありますか?
- Aホワイトニングには一般的に年齢制限はありません。
ただし、ホワイトニング処置を受けるためには、歯や歯茎の健康状態が適切であることが重要ですので、子供や若年者は歯の発育が完了していない場合があり、歯科医師の判断によってホワイトニングの適応が制限されることがあります。 - Qホワイトニング直後に注意することはありますか?
- Aホワイトニング直後は、柑橘系飲料や果物、炭酸飲料、、ビタミンC(クエン酸)の酸っぱい食べ物や飲み物は控えていただくようお願いします。
- Qホワイトニング後のアフターケアはどのようにすればいいですか?
- Aできる限りホワイトニング効果のある歯磨き剤を使用してください。
コーヒー、コーラ、紅茶、ウーロン茶などのお茶類、赤ワイン、色の濃いカクテル、煙草、葉巻などのタバコ製品も控えていただくと、より効果を持続させることができます。 - Qホワイトニングは妊娠中や授乳中でも安全ですか?
- A歯科医師と相談することが重要です。
胎児への影響や口内トラブルが起きやすい健康状態なのでできるだけホワイトニングは控えた方が良いでしょう。
魅力的な印象は、美しい口元から!
歯みがきや歯のクリーニングでは落ちない、着色(加齢や飲食物によるもの)を歯を削ることなく白くする方法です。
歯の表面にホワイトニング剤を塗布し、歯の黄ばみやくろずみ色素を分解して歯を白くしていきます。
天然の歯を白くしていくため、自然な色の仕上がりになり、笑顔の魅力度が格段にアップします。
コロナ禍では「マスク美人」という言葉が流行したように、口元が顔に与える印象が大きいことが話題となりました。
歯の色が気になる方は、ホワイトニングを行うことで白く、魅力的な歯を実現し、お顔のトーンが明るくなり、より良い印象につなげることができます。
このような人にオススメ
加齢変化による歯の黄ばみが気になる方(20代から黄ばみはじめます)
今よりも、もっと美しく白い歯を手に入れたいと思う方
歯に負担をかけることなく、健康的に白い歯を手に入れたい方
自然な色の仕上がりを希望されている方
自分の笑顔にもっと自信を持ちたい方
挙式を控えている方
このような点に注意
医療ホワイトニングで歯が白くなるメカニズム
ホワイトニング剤に含まれる有効成分(過酸化水素・過酸化尿素)は、歯を傷めることなく内部まで浸透し、着色汚れや沈着した色素を分解する力があります。
ホワイトニング剤を塗布することで、より深いところの色素まで分解し、白くすることができます。
ホワイトニング前
内部の色素により、黄色く見える。 |
ジェルによる色素の分解 有効成分が徐々に内部までしみ込んでいき、色素を分解。 |
ホワイトニング後 色素が分解され、透明感のある白い歯に。 |
中林デンタルケアークリニックのホワイトニング
当院のホワイトニングはホームホワイトニングとオフィスホワイトニングを組み合わせたデュアルホワイトニング。
より美しく、白く、効果を実感できます。
その他、ニーズに合わせて選べる2つのホワイトニングコース
| ホームホワイトニング | オフィスホワイトニング |
![]() |
![]() |
それぞれのホワイトニングのステップ
オフィスホワイトニング
当院では、ホワイトニング専用照射器「BRILLICA bianco(ブリリカ ビアンコ)」というお口に直接装着できる器材を使用しております。
ペースト状のホワイトニング剤を歯に塗って光を照射し、ホワイ トニング剤を活性化させて歯を白くしていきます。
従来のスタンドタイプの照射器と異なり、器材を直接お口に取りつけるために、患者さんの頭が動いても光の照射位置がずれることがなく、光が目に入りにくいという特徴があります。
そのため、スタ ンドタイプを使用したホワイトニングよりもリラックスして施術を受けていただくことができます。
オフィスホワイトニングの特徴
短時間で効果を実感しやすい
1回の施術時間が平均60分程度なので、通常より比較的少ない期間で効果を実感できます。
虫歯予防などの早期発見につながる
歯科医師さんまたは歯科衛生士さんによって行われるので、口内環境のチェックも可能となります。
その結果、歯石や虫歯など歯の健康状態を把握し早期発見につながります。
歯科医師による施術
歯科医師からの専門的なアドバイスやアフターケアについての指導も受けることができます。
オフィスホワイトニングの注意点
ホームホワイトニング
ホームホワイトニングの特徴
白さが長持ちする
効果を感じるまで時間がかかりますが、一般的にホームホワイトニングの方が歯の白さが長持ちします。
時間をかけて歯の内側から黄ばみを分解するため、後戻りの時間も比較的緩やかなのも特徴です。
自分ペースで行える
初回のみ歯科医院に通えば、その後はご自身で施術を行えるので、自分の生活スタイルに合ったペースで続けることができます。
費用が比較的リーズナブルである
一般的に即効性のあるオフィスホワイトニングに比べると安価な費用で施術が行えます。
ホームホワイトニングの注意点
デュアルホワイトニング
オフィスホワイトニングとホームホワイトニングを併用して行うホワイトニングです。
当院では、より早く効果が得られ、より白く実感できるデュアルホワイトニングをおすすめしております。
デュアルホワイトニングの特徴
短期間で効果を実感できる
オフィスホワイトニングとホームホワイトニングを組み合わせることで、短期間で効果を実感していただくことができます。
効果が持続しやすい
歯の内部の着色を薬剤で除去しますので、色戻りがしにくいです。
デュアルホワイトニングの注意点
デュアルホワイトニングの流れ
各ホワイトニングの料金について
ホームホワイトニング |
55,000円(税込) |
オフィスホワイトニング |
55,000円(税込) |
デュアル(オフィスホワイトニングとホームホワイトニングの併用) |
96,800円(税込) |
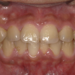
当院で行ったホワイトニングの症例
ホワイトニングに関するよくある質問
内部の色素により、黄色く見える。
有効成分が徐々に内部までしみ込んでいき、色素を分解。
色素が分解され、透明感のある白い歯に。
