歯みがき粉をかえたら着色が目立ってきた症例
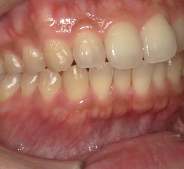
治療前
治療後
| 相談内容 | 「この頃着色が目立ってきました。」とご相談いただきました。 |
|---|---|
| 年齢・性別 | 40代 男性 |
| カウンセリング・診断結果 | 定期検診で拝見していた患者さんで、着色もなく虫歯予防も行き届いていました。 普段からお茶を飲まれる方でしたが急に着色するようになってきていましたので、お尋ねしたところ「歯周病予防の歯みがき粉にかえた」とのことでした。 歯周病予防の商品は低研磨の商品が多く、お茶をよく飲まれる患者さんでは着色除去力が足りないことが予想されます。 |
| 行った治療内容 |
こちらから歯みがき粉等はオススメしておらず、市販品でもよく行き届いていた方なので、以前に使っていた歯みがき粉と歯周病予防のものを使い分けるようにオススメしました。 一度着色除去をうけていただき、その後も着色もなく定期検診で拝見しています |
| 術後の経過・現在の様子 | もともと虫歯予防に励んでいた患者さんでしたので、艶があり綺麗な歯質をしていました。 通常の虫歯予防の歯磨き粉であれば清掃効果として研磨剤が入っていますので、お茶による着色は今までどおりご自身で落とせると思われます。 |
| 治療期間 | 1日 |
| 総額治療費の目安 | 着色除去5,000円+税 |
| 治療のリスクについて | 通常の虫歯予防の歯磨き粉でもある程度の着色は落とせます。 ホワイトイニング効果をうたっている商品はそれよりも多く研磨剤等が入っていると思ってください。 歯周病予防の商品はじっくりハグキをケアするために、低研磨・研磨剤無配合の商品が多く出ています。 予防したい目的に合わせて歯磨き粉を選択することをお勧めします。 |
中林デンタルケアークリニック:https://naka-dent.com/
〒211-0041 神奈川県川崎市中原区下小田中1-20-7
電話:044-766-0970
交通アクセス
電車でお越しの方:武蔵中原駅より徒歩5分
お車でお越しの方:無料駐車場有
