-
-
子どもの乳歯が抜けない・永久歯が生えない場合の原因や対処法を解説
2026/02/20 ブログ
こんにちは、武蔵中原の歯医者、中林デンタルケアークリニックです。 「周りの子ども ...
-
-
「コーヒーが欠かせなくて、着色が気になる」 適切な予防ケアと定期的なパウダーメインテナンスで着色を予防している症例
治療前 治療後 相談内容 「ブラックコーヒーが欠かせないです。どうしても目立つと ...
-
-
「自分のお口の特徴を知って虫歯予防に取り組んでいる」症例
治療前 治療後 相談内容 「子供の頃から虫歯になりやすかった、これからはしっかり ...
-
-
検診を機に、歯の表面に付着したプラークや歯石をクリーニングで綺麗に除去した症例
治療前 治療後 相談内容 「検診を受けたい。」と来院されました。 年齢・性別 3 ...
-
-
歯科医師は電動歯ブラシを使わない?その理由や電動歯ブラシの選び方を解説
2026/01/20 ブログ
こんにちは、武蔵中原の歯医者、中林デンタルケアークリニックです。 「歯科医院で、 ...
-
-
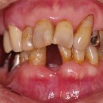
つめものの段差によって清掃状態がよくなく慢性的に歯肉炎になっていた症例
治療前 治療後 相談内容 「過去に虫歯が多かったので、だいぶ長い期間通院していて ...
-
-
「ステインオフで口腔内環境も整えられた」症例
治療前 治療後 相談内容 「見た目も気になるし虫歯予防もしたい」とご相談いただき ...
-
-
虫歯治療の前にセルフケアの見直しとクリーニングを行い歯周病が改善した症例
治療前 治療後 相談内容 「歯が欠けたかなと思っていたが、そのままにしていたら昨 ...
-
-
本来の歯を取り戻すのがプロのケア~冬休みのお知らせ~
2025/12/22 スタッフのブログ
こんにちは衛生士のブログになります 保険の定期検診以外にも自費ケアがあるのはご存 ...
-
-
唾液がねばつくのは何が原因?サラサラにするための方法を解説
2025/12/20 ブログ
こんにちは、武蔵中原の歯医者、中林デンタルケアークリニックです。 ふと気づくと、 ...
