「歯磨きすると歯茎から出血してきた」プロケアとホームケアで歯茎が回復した症例

   

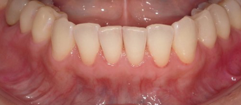
治療前

武蔵中原の歯医者、中林デンタルケアークリニックの予防症例、治療前

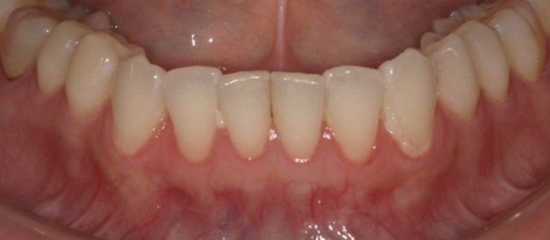
治療後

武蔵中原の歯医者、中林デンタルケアークリニックの予防症例、治療前
相談内容 「検診・クリーニングがしたい」とご相談いただきました。
年齢・性別 40代 女性
カウンセリング・診断結果 今までは虫歯治療があると一緒にクリーニングをされていたそうで、定期的にはしていないようでした。
最近1年程は特に痛い所や気になる所などが無かった為歯科受診をされていなかったそうです。
今回は歯茎からの出血が気になり全体的に診て欲しいとの事でした。

歯周ポケットは全体ほぼ2~3㎜、臼歯部にて4㎜が数か所みられました。
特に下の前歯部ではプラークが多く付着しており、それによる歯茎の腫れが見られました。
炎症が少しずつ始まってきている状態でした。
軽度の歯肉炎と診断しています。
行った治療内容 レントゲン、口腔内写真撮影、歯周ポケット検査、磨き残し確認などを始めに行いました。

染めだし後の磨き残し確認ではプラーク残りを見てもらいました。
磨き残しがあることにより、周りの歯茎に腫れが出てしまっていることを理解して頂きました。
ブラシが適切に歯面に当たっていなかった箇所はブラシの当て方を指導しています。

歯茎の腫れを予防出来るように、抗炎症作用のある歯磨き粉もご提案しています。
フッ素も含まれている物ですので虫歯予防効果も期待できます。
術後の経過・現在の様子 現在はプラークコントロールも良くなり歯茎の腫れが治まってきました。
歯磨き粉も継続して使用していただいています。

患者さんには、痛い所が特に無くても定期的な歯科医院でのメンテナンスをすることの大切さをご理解して頂きました。
何か症状が出る前に予防し、”健口”な状態を維持していくことをこれからも続けていってほしいと思います。
治療期間 1ヵ月以上
治療回数 2回以上
総額治療費の目安 保険クリーニング代
他セルフケア代
治療のリスクについて ・歯茎の状態によっては治療期間が長くなることがあります。
・歯茎の治るスピードには個人差があります。
・クリーニング後もご自宅での適切なケア等が必要です。
・歯磨き粉の効果には個人差があります。
クリニックより 虫歯・歯周病は予防できます。
定期的な歯科医院での検診・クリーニングで健康なお口を保ちましょう。

 



中林デンタルケアークリニック:https://naka-dent.com/

〒211-0041 神奈川県川崎市中原区下小田中1-20-7
電話:044-766-0970

交通アクセス
電車でお越しの方:武蔵中原駅より徒歩5分
お車でお越しの方:無料駐車場有

PAGE TOP