「1年以上歯医者に通っていない。 歯を綺麗にしたい。」

   

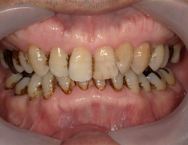
治療前

武蔵中原の歯医者、中林デンタルケアークリニックの予防症例、治療前 武蔵中原の歯医者、中林デンタルケアークリニックの予防症例、治療前

治療後

武蔵中原の歯医者、中林デンタルケアークリニックの予防症例、治療前 武蔵中原の歯医者、中林デンタルケアークリニックの予防症例、治療前
相談内容 「歯を綺麗にしたい。クリーニングしてほしい」とご相談がありました。
年齢・性別 男性
カウンセリング・診断結果 以前は3ヵ月に1度のメインテナンスに通っていたそうですがご自宅から歯科医院までの距離が遠く感じてきたため、なかなか動けずここ1年程歯科医院を受診していないとの事でご自宅の近くにある当医院を受診されました。
口腔内には粘り気のあるステインが全体の歯の表面に付き歯肉縁上歯石も沈着している状態でした。
行った治療内容 歯周組織の状態を把握するため
・口腔内全体のレントゲン撮影
・口腔内写真
・歯周検査
を行いました。

その後、専用に機械を使って歯に付いている歯石をしっかり除去し、歯の表面を綺麗に磨きました。
患者様が1番気にされていたのが歯のステインでした。
ステインを付きにくくするための予防方法なども説明しました。

注意)研磨剤入りの歯磨き粉などでゴシゴシこすると、歯の表面に傷がつき、かえって着色しやすくなります。
術後の経過・現在の様子 今回は歯石の上にステインが付いている状態だったのでクリーニングを優先しました。
着色除去(パウダーメインテナンス)
今後取り入れていく予定です。
治療回数 2回
総額治療費の目安 保険範囲内
今後パウダーメンテナンス 自費¥5500 税込
治療のリスクについて 喘息などの呼吸器疾患がある方、鼻呼吸が難しい方などは施術を受けられない場合があります。
クリニックより ・保険適応内で行われる歯面研磨では除去できる着色に限界があります。
・歯石の上に着色が付いている場合、パウダーでは除去不可となり仕上がりにムラが生じる原因に繋がります。ですので、口腔内の状態によりクリーニングを優先させていただくことがあります。
・施術中は水とパウダーを使用しておりますので、鼻呼吸が難しい鼻疾患、呼吸器疾患治療中の方は体調が落ち着いてからご来院ください。
・着色除去後、定期的に歯科医院での検診を受けることで着色の再沈着を予防することができます。
・歯の黄ばみ、変色は着色除去では取り除けませんのでご注意ください。

 



中林デンタルケアークリニック:https://naka-dent.com/

〒211-0041 神奈川県川崎市中原区下小田中1-20-7
電話:044-766-0970

交通アクセス
電車でお越しの方:武蔵中原駅より徒歩5分
お車でお越しの方:無料駐車場有

PAGE TOP