検診を気に、歯の表面に付着したプラークや歯石をクリーニングで綺麗に除去した症例
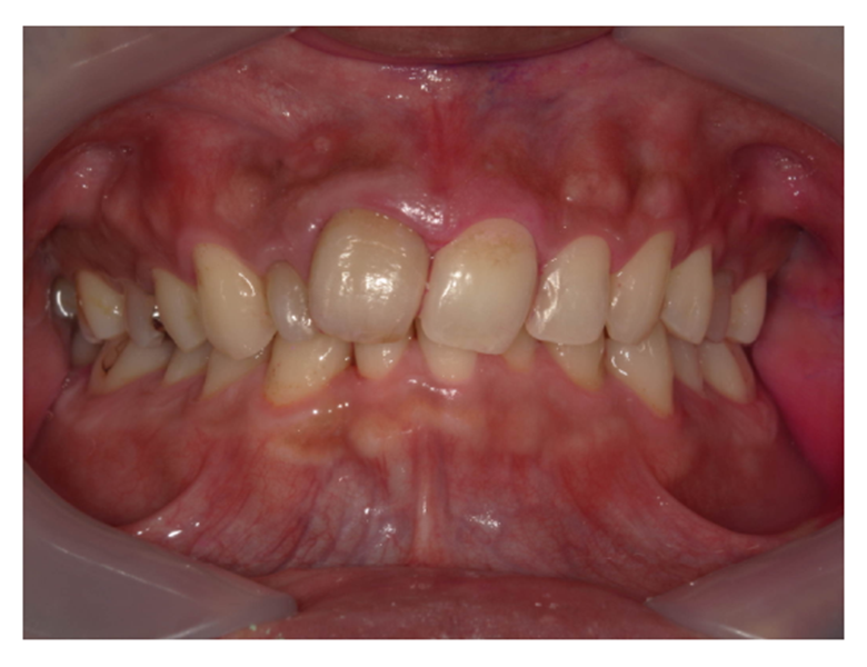
治療前
治療後
| 相談内容 | 「検診を受けたい。」と来院されました。 |
|---|---|
| 年齢・性別 | 30代 |
| カウンセリング・診断結果 | 口腔内を拝見したところオレンジ色に変色したプラークや歯石が岩のようになって下の前歯の裏側に沈着しているのを確認しました。 今以上歯周病が進行しないためにも、患者様にクリーニングを受けて頂くよう説明しました。 |
| 行った治療内容 | 口腔内の状況を把握する為 ・口腔内全体のレントゲン撮影 ・口腔内写真 ・歯周検査 ・染めだし、歯磨き指導 プラークや歯石を取り除く ・スケーリング ・歯面研磨 を行いました。 |
| 術後の経過・現在の様子 | 以前に比べて口腔内に対しての意識が変わりブラッシング方法の改善により、プラークの付着量を減らすプラークコントロールができるようになり、歯ぐきの炎症や出血が軽減されつつあります。 しかし、まだ歯ぐきの腫れや出血が残っているところもあるため、セルフケアと定期的な検診・クリーニングで歯周病を予防し、引き続き経過を観察しています。 |
| 治療期間 | 約1ヵ月 |
| 総額治療費の目安 | 保険範囲内 |
| 治療のリスクについて | ・病状、症状、患者様のお口の環境によって、複数回にわたる施術が必要となる場合があります。 ・処置後は歯ぐきが引き締まるため、歯の根元がしみる「知覚過敏(ちかくかびん)」が起きる場合があります。 |
中林デンタルケアークリニック:https://naka-dent.com/
〒211-0041 神奈川県川崎市中原区下小田中1-20-7
電話:044-766-0970
交通アクセス
電車でお越しの方:武蔵中原駅より徒歩5分
お車でお越しの方:無料駐車場有
