虫歯治療の前にセルフケアの見直しとクリーニングを行い歯周病が改善した症例

   

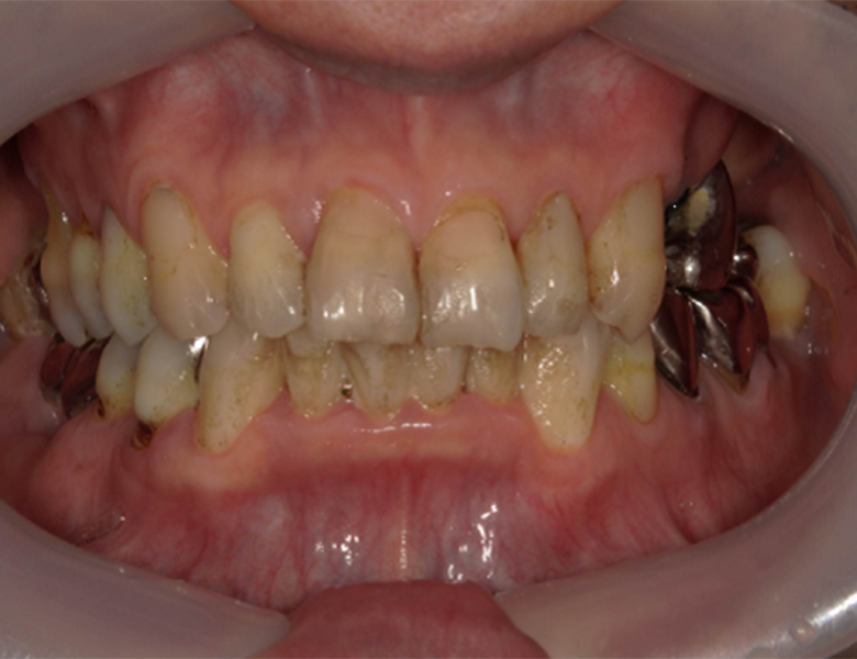
治療前

武蔵中原の歯医者、中林デンタルケアークリニックの予防症例、治療前

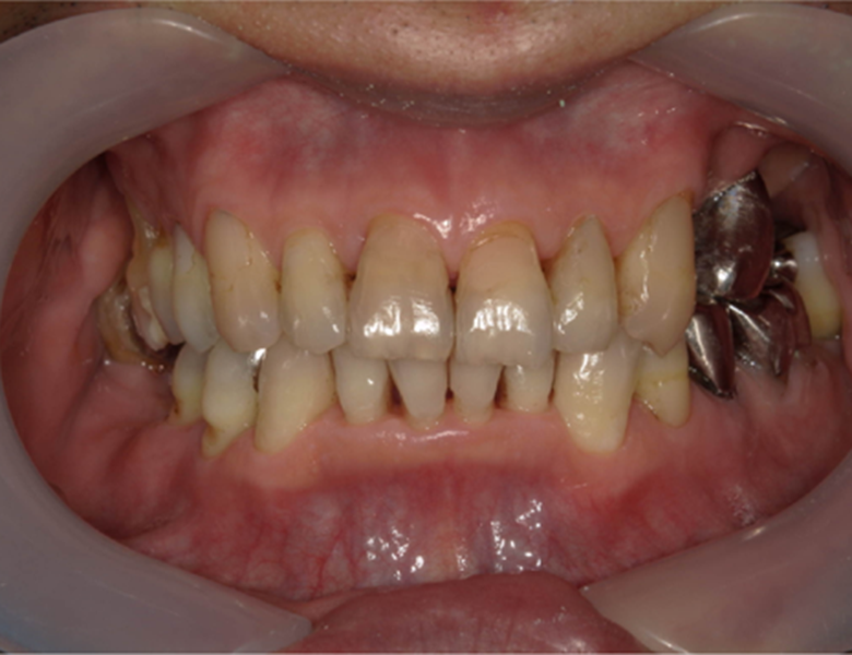
治療後

武蔵中原の歯医者、中林デンタルケアークリニックの予防症例、治療後
相談内容
年齢・性別 50代 男性
カウンセリング・診断結果 拝見したところ、全体に薄い色のステインと歯と歯ぐきの境目には、細菌の塊である「歯垢」と、歯垢が唾液などで固まった「歯石」が付着していました。
これらは、歯を支える骨や歯の周りの組織が徐々に破壊される「歯周病」の症状です。
虫歯や被せ物の治療の前に、歯ぐきの炎症を取り除くための歯周病治療が必要です。
行った治療内容 診断内容を丁寧に説明した上で、口腔内のクリーニングでプラークや歯石を落として歯ぐきの炎症を抑えてから虫歯治療を進める治療計画をご提案し、ご了承いただきました。

歯周病は歯の周りの組織を侵していく病気なので現状の歯周組織の状態を把握するため
・口腔内全体のレントゲン撮影
・口腔内写真
・歯周検査
を行いました。
次に、歯周病の予防や改善には患者様ご自身が行うセルフケアが大切なことをお伝えし、毎日のハミガキについてハブラシの持ち方や動かし方、磨く順番などを説明させていただきました。
その後、歯垢や歯石を専用の器具で除去する「スケーリング」を行い、歯の表面を磨きました。
術後の経過・現在の様子 プラークや歯石の除去により歯ぐきが健康で引き締まった状態になり、腫れや出血も見られなくなりました。
お口全体の環境が整ったため、中断されていた虫歯治療を再開することができました。
今後も定期的にクリーニングを実施し、歯周病を予防していく予定です。
治療期間 約1ヵ月
総額治療費の目安 保険範囲内
治療のリスクについて ・炎症症状がひどい場合は、歯周病の治療に移行する前に炎症状態の確認を数回行う場合があります。
・ご自宅での歯磨きで歯と歯ぐきの境目のケアがしっかりできないと、炎症を引かせることができない場合があります。
クリニックより 日頃の生活習慣の中で、歯磨きのタイミングの見直し、歯ぐきの状態に合わせたハブラシの選択が、歯周病治療・予防にとって必要になります。
長年の喫煙歴は、歯周病の炎症症状に気づきにくい場合があります。
心臓病・高血圧や糖尿病なども歯周病と関係があると言われています。
歯周病は進行してから治療するのではなく、進行が始まる前から「予防」していく事が大切です。

 



中林デンタルケアークリニック:https://naka-dent.com/

〒211-0041 神奈川県川崎市中原区下小田中1-20-7
電話:044-766-0970

交通アクセス
電車でお越しの方:武蔵中原駅より徒歩5分
お車でお越しの方:無料駐車場有

PAGE TOP