「口腔内の現状を理解して虫歯予防に取り組んでいる」症例
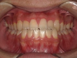
治療前
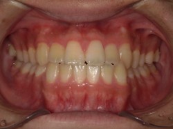
治療後
| 相談内容 | 「痛い所などはないが今のお口の状態を知りたい」とご相談いただきました。 |
|---|---|
| 年齢・性別 | 20代 男性 |
| カウンセリング・診断結果 | 今まで痛みなど出ることがなく歯医者に行く機会があまりなかったそうです。 学生の時の歯科検診が最後との事でした。 お口の中全体は虫歯が数本あり、進行性の虫歯であった為治療が必要と診断しました。 また、歯茎の腫れや出血も見られ歯肉炎の状態でした。 虫歯治療と並行してお口の環境を整えるクリーニングをする必要があると説明しました。 |
| 行った治療内容 | ・虫歯治療 ・歯茎の検査 ・ブラッシング、フロスの使い方指導 ・虫歯予防のお話 ・歯茎は歯周ポケットの深さは2~3㎜でしたが、出血が所々ある状態でした。 歯茎の近くや歯の間に磨き残しが多く、腫れる原因になってしまっていました。 歯ブラシの当て方、フロスの使い方等を指導しています。 ・普段の飲食習慣で炭酸ジュースを飲むことがあるそうです。 その影響もあり虫歯が出来てしまっていることもお伝えしています。酸性度の高い飲食物、糖が多く含まれるものを習慣的に摂取すると、歯の表面が溶けやすくなってしまいます。 歯磨きがしっかりと出来てても虫歯になりやすくなります。 ・歯質を強化するのにフッ素製品の使用も指導しています。 取り入れてもらいやすいフッ素配合の歯磨剤等ご提案しています |
| 術後の経過・現在の様子 | 現在虫歯治療は終了しています。 歯茎の腫れはブラッシング方法が改善され、徐々に治ってきました。 フロスも習慣化され、お口への健康意識の変化がみられています。 また、炭酸飲料や糖摂取については虫歯への影響をよく理解して頂けたようで、取る頻度が減少したそうです。 フッ素配合の歯磨剤も積極的にご使用して頂いています。 歯科医院での歯石取り、ご自宅での適切なケアの両方ができていると健康なお口を保つことが出来ます。 今後も患者さんの健康のためにサポートしていきます。 |
| 治療期間 | 2~3ヵ月 |
| 総額治療費の目安 | 虫歯治療代 保険クリーニング代 他セルフケア代等 |
| 治療のリスクについて | ・歯茎の治り具合には個人差があります。 ・歯茎の状態によっては治療期間がさらにかかってくることがあります。 ・歯科医院でのクリーニング後もご自宅での適切なケアが必要です。 |
| クリニックより | ご自宅だけでのケアでは落としきれない汚れはあります。そのまま放置していると、虫歯や歯周病の原因となってしまいます。 痛みなどが特に無くてもお口中の状態を知るために来て頂きたいです。 定期的な歯科院でのクリーニングでお口の健康を守っていきましょう! |
中林デンタルケアークリニック:https://naka-dent.com/
〒211-0041 神奈川県川崎市中原区下小田中1-20-7
電話:044-766-0970
交通アクセス
電車でお越しの方:武蔵中原駅より徒歩5分
お車でお越しの方:無料駐車場有
