歯周病の原因を取り除き歯ぐきの炎症が改善された 症例

   

治療前

 

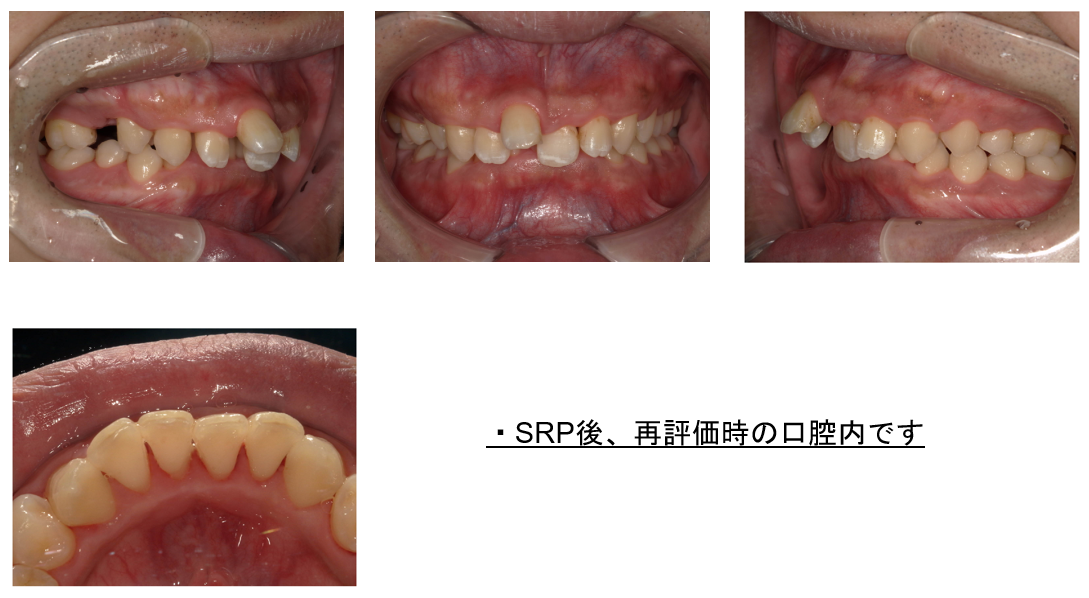
治療後

 

相談内容 「歯ぐきから血が出る。腫れているのでみて欲しい。」とご相談がありました。
年齢・性別 20代 男性
カウンセリング・診断結果 口腔内を拝見したところ 全体的に歯ぐきの発赤、腫脹、出血があり炎症が強く出ていました。歯ぐきの上だけでなく、歯ぐきの内部にも歯石が認められる状態でした。
行った治療内容 今以上、歯周病の症状が進行・悪化しないために口腔内のクリーニング及びセルフケアの指導を受けていただくように提案し 同意いただきました。
現状の歯周組織の状態を把握するため
・口腔内全体のレントゲン撮影
・口腔内写真
・歯周検査を行いました。

その後、歯垢や歯石を専用の器具で除去する「スケーリング」を行いました。
次に、炎症を起こしていた歯ぐきを鎮静化させるため、スケーリングから1週間程あけてから、歯ぐきの内部に沈着している歯石を除去する「SRP」を行います。
《専用の器具(超音波スケーラーや手用スケーラーなど)を使い、歯周ポケットの奥深くの歯石を物理的に除去します。また歯の根の表面を滑らかにする「ルートプレーニング」も同時に行い、プラーク(歯垢)が再び付着しにくいようにします。》

施術時は、痛みを感じにくいよう麻酔をしてから歯ぐき内部の歯石を丁寧に除去しています。
治療期間 3カ月
総額治療費の目安 保険範囲内
治療のリスクについて ・病状、症状、患者様のお口の環境によって、複数回にわたる施術が必要となる場合があります
・治療が終わった後も、十分なセルフケアが必要です
・正しいブラッシングやメンテナンスを行わない場合、歯石の付着や虫歯が生じる可能性があります
・処置後は歯ぐきが引き締まるため、歯の根元がしみる「知覚過敏(ちかくかびん)」が起きる場合があります
・治療後の十分なセルフケアやメンテナンスを怠ると、歯ぐきの炎症が再発・進行する可能性があります

 



中林デンタルケアークリニック:https://naka-dent.com/

〒211-0041 神奈川県川崎市中原区下小田中1-20-7
電話:044-766-0970

交通アクセス
電車でお越しの方:武蔵中原駅より徒歩5分
お車でお越しの方:無料駐車場有

PAGE TOP