「歯磨きをしても落ちない汚れがある、全体的に綺麗にしたい」ステイン除去とオフィスホワイトニングで理想的な口腔内になれた症例
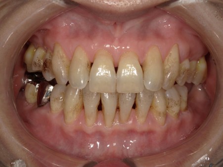
治療前
治療後
| 相談内容 | 「歯を綺麗にしたい、見た目が気になる」とご相談いただきました。 |
|---|---|
| 年齢・性別 | 60代 女性 |
| カウンセリング・診断結果 | お話を伺うと長年コーヒー、紅茶などを好んで飲食されていたとの事でした。 全顎的に見られた歯磨きしても落ちない汚れは、飲食物由来によるステインと診断しました。 歯ブラシでは落とすのが困難で専用の機械による除去が必要になります。 |
| 行った治療内容 |
・ステイン除去 ステインは広範囲に付着していると、保険の範囲内で綺麗に落とすには限界があります。 また、ステイン除去は自費のメンテナンスになります。着色除去専用の機械を使い、特殊なパウダーを使用し落としていきます。歯の表面を傷つけずに優しく落とすことが可能です。継続していく事で再付着しにくくなります。 ※ステインを除去することで歯本来の色味になりますが、それ以上白くなったりの色変化はありません。 ・ホワイトニング 何回か着色除去のメンテナンスを継続していましたが、「歯自体の色を明るくしていきたい」とのことでしたのでホワイトニングをご提案しました。 デュアルホワイトニング、オフィスホワイトニング、ホームホワイトニングの3種類からオフィスホワイトニングを選択していただきました。 患者さんは虫歯、歯周病等はありませんでしたのでご自身のタイミグでスタートしていきました。 ※当院のオフィスホワイトニングでは2回来院で施術を行って行きます。 |
| 術後の経過・現在の様子 | ホワイトニング後は、黄色味が抜けて全体的に統一感のある状態に仕上がったと思います。 ステイン除去後、口腔内への意識変化からホワイトニングまで行いました。 長年気になってはいたけど、そのままにしていたステインと歯の色だったそうです。ホワイトニング終了後の仕上がりには大変満足されていました。 今後は出来るだけ今の状態をキープしていきたいとの事で、着色予防のために始めに行っていたパウダーを使ったメンテナンスを継続していきます。 今後も患者さんの理想の口腔内を保てるようにサポートしていきます。 |
| 治療期間 | 約1年 |
| 総額治療費の目安 | 着色除去¥5,500 オフィスホワイトニング¥55,000 他セルフケア代等 |
| 治療のリスクについて | 着色除去 ・鼻炎、喘息、他呼吸器疾患の方、歯周病等で歯茎の炎症が強い方は施術が受けられない場合があります。 ・着色除去では歯本来の白さに戻すことが出来ますが、歯の色が明るくなることはありません。 オフィスホワイトニング ・虫歯、歯周病等治療が必要な箇所がある方は治療が優先になります。 ・ホワイトニング前にはクリーニングが必要になります。 ・色の変化、再着色には個人差があります。 ・ホワイトニングの効果は永久的ではありません。 |
| クリニックより | 歯の色についての悩みなど気になる事がありましたらお気軽にご相談下さい。 |
中林デンタルケアークリニック:https://naka-dent.com/
〒211-0041 神奈川県川崎市中原区下小田中1-20-7
電話:044-766-0970
交通アクセス
電車でお越しの方:武蔵中原駅より徒歩5分
お車でお越しの方:無料駐車場有
