「歯が抜けてそのままにしてある」 来院回数を減らし接着性ブリッジで修復できた症例
2025/11/11
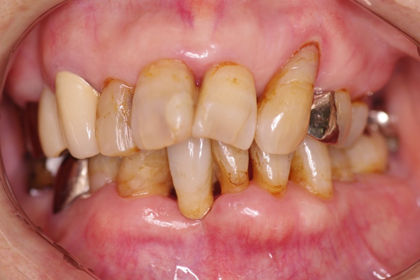
治療前
治療後
| 相談内容 | 前歯の歯槽膿漏が進行していて歯が揺れていた。歯医者にはずっと行っていなくて、ある日突然歯が抜けおちました。前歯なので見た目が気になります。とご相談いただきました。 |
|---|---|
| 年齢・性別 | 60代 女性 |
| カウンセリング・診断結果 | 前歯の周囲の炎症はあまり見えませんが、奥歯を中心に歯周病が徐々に進行している状態でした。 歯ぐき下がりから、過去に歯周病になってしまい治療をされたことが予想できます。 体が弱く調子がよくないことが続き、中々歯医者には行かれなかったようです。 |
| 行った治療内容 |
当院でも歯周病の検査・歯垢歯石の除去を受けていただきました。その後前歯の修復治療へ移行しました。 治療での来院回数を抑えるために接着性ブリッジを入れることになりました。 |
| 術後の経過・現在の様子 | 嚙み合わせは問題なく使えているようです。 「歯が入って安心しました」と言っていただけました。 歯周病の再発予防のためにも、調子がいい時に検診に来てほしいとお伝えしました。 |
| 治療期間 | 1カ月 |
| 治療回数 | 3回 |
| 総額治療費の目安 | 保険範囲内 |
| 治療のリスクについて | ・接着性ブリッジは、対応できる歯が限られています。全ての歯にできる治療ではありません。 ・嚙み合わせの関係で外れやすいデメリットがあります。 |
中林デンタルケアークリニック:https://naka-dent.com/
〒211-0041 神奈川県川崎市中原区下小田中1-20-7
電話:044-766-0970
交通アクセス
電車でお越しの方:武蔵中原駅より徒歩5分
お車でお越しの方:無料駐車場有
