「検診を受けたい」 慢性的な歯周炎による腫れを改善できた症例

   

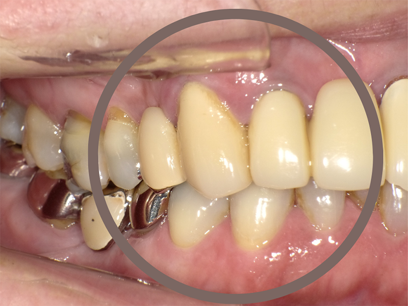
治療前

武蔵中原の歯医者、中林デンタルケアークリニックの予防症例、治療前

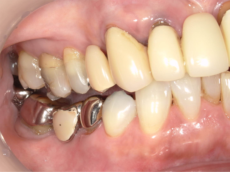
治療後

武蔵中原の歯医者、中林デンタルケアークリニックの予防症例、治療前
相談内容 前は検診を受けていたけれど、忙しい時期が重なってずっと行けてませんでした。
歯とハグキのチェックをお願いしますとご相談いただきました。
年齢・性別 50代 女性
カウンセリング・診断結果 二次虫歯でだめになってしまっていて治療が必要な歯と、全体的に歯垢歯石がハグキの境目に薄く溜まってしまっている状態でした。
それによりハグキの血色不良がおきてしまっていました。
行った治療内容 ・歯周組織検査
・スケーリング
・SRP・二次虫歯治療
・再評価
~その他虫歯治療へ~

二次虫歯の歯は歯が割れてしまっていたので抜歯の対象になってしまいました。
割れた隙間に歯垢がたまり虫歯でハグキの炎症もおきていました。
術後の経過・現在の様子 治療を進めていくにつれてハグキの代謝があがり、全体に血色がよく健康的に回復してきました。
抜かなければならない歯を抜くことでも、口腔内環境が整いました。
定期検診で術後の経過観察をし、歯の無い場所への治療カウンセリングをする予定です。
治療期間 4か月
総額治療費の目安 保険範囲内
治療のリスクについて 二次虫歯の発見はご自身では気づきにくく、数年後の再来などのタイミングで拝見すると進行していることが多いです。
虫歯を治療すると同時に虫歯予防を見直し、取り組んでいただくことが治療した歯を長く使っていただくためにも必要なことだと思います。

 



中林デンタルケアークリニック:https://naka-dent.com/

〒211-0041 神奈川県川崎市中原区下小田中1-20-7
電話:044-766-0970

交通アクセス
電車でお越しの方:武蔵中原駅より徒歩5分
お車でお越しの方:無料駐車場有

PAGE TOP